Deluxe Braces

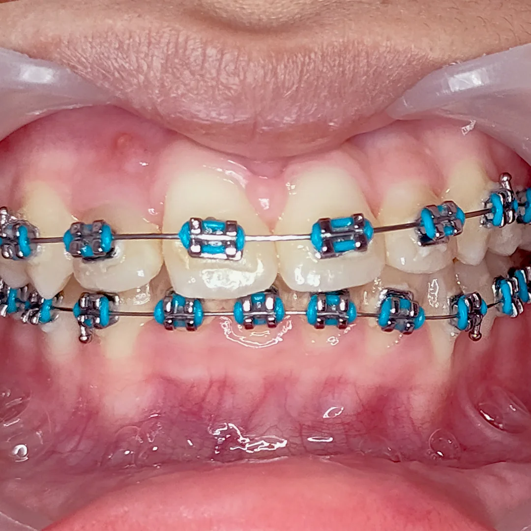
Progress perawatan dengan behel metal (Deluxe) setelah perawatan selama kurang lebih 1 tahun

BEFORE
AFTER

Dikerjakan Oleh drg.Komala Sp.Ortho

Copyright © 2023 Sweet Treats Dental Clinic. All rights reserved.

back to home