Signature Sapphire Braces

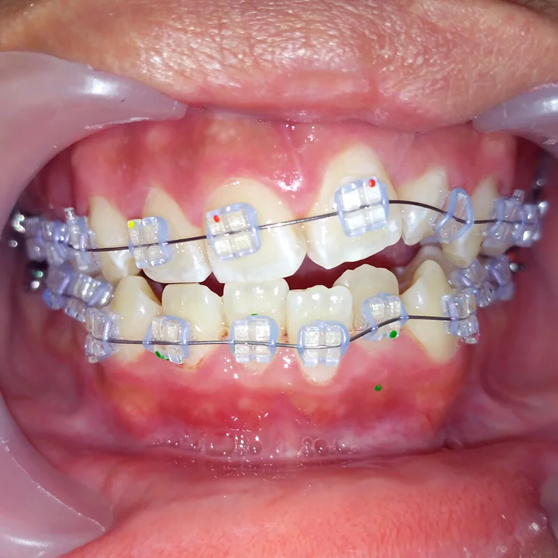
Progress perawatan dengan behel sapphire (Sapphire Braces) setelah perawatan selama kurang lebih 1 tahun

BEFORE
AFTER

Dikerjakan Oleh Dokter

Copyright © 2023 Sweet Treats Dental Clinic. All rights reserved.

back to home