
Senyum Kembali Utuh dengan Sweet Treats
Perawatan gigi palsu di Sweet Treats dilakukan dengan pendekatan yang nyaman dan presisi. Dengan teknologi modern dan dokter gigi berpengalaman, proses pencetakan hingga pemasangan dilakukan secara aman dan terarah. Kami memastikan gigi palsu terasa pas, natural, dan mendukung fungsi mulut secara optimal, sehingga senyum dan kepercayaan diri kamu kembali seperti semul

Jenis – Jenis Gigi Palsu Lepasan Dan Permanen
Di Sweet Treats
Gigi Palsu Permanen
Gigi Palsu Lepasan
Kenapa Harus Pasang Gigi Palsu Di Sweet Treats?

Senyum Kembali Utuh, Percaya Diri Kembali Naik
Gigi palsu membantu mengembalikan fungsi mengunyah sekaligus memperbaiki tampilan senyum. Hasilnya? Kamu bisa beraktivitas lebih nyaman dan percaya diri setiap hari.

Dikerjakan oleh Dokter Gigi Berpengalaman
Proses pembuatan gigi palsu dilakukan oleh dokter gigi profesional dengan teknik yang aman, presisi, dan sesuai kebutuhan struktur mulut kamu.

Nyaman Dipakai, Pas di Mulut
Mulai dari pencetakan, penyesuaian, hingga pemasangan, semuanya dibuat nyaman dan mudah dipahami. Kamu akan dibimbing sampai gigi palsumu terasa benar-benar pas dan natural.

Material Berkualitas untuk Kenyamanan Jangka Panjang
Gigi palsu dibuat menggunakan bahan yang aman dan berkualitas, memberikan rasa nyaman sekaligus daya tahan yang baik.
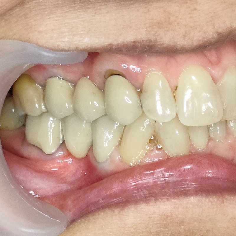
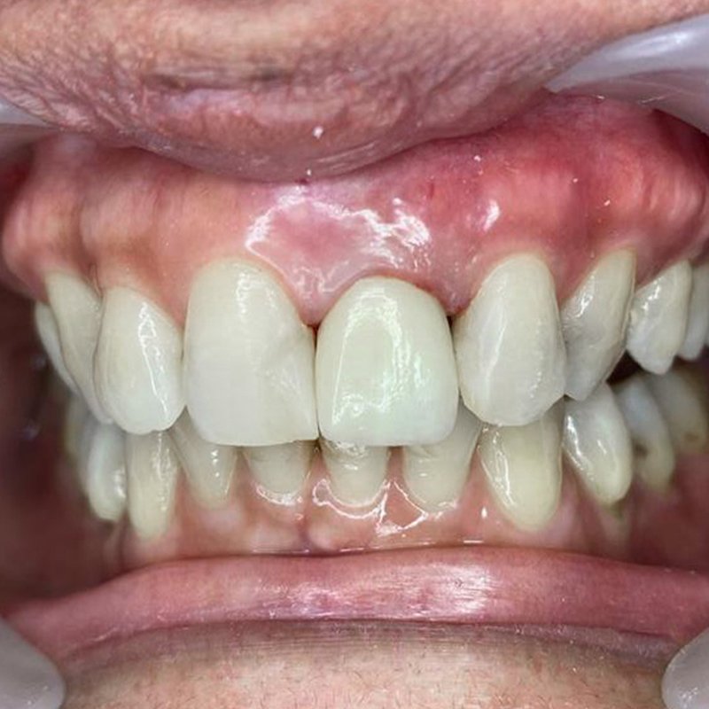
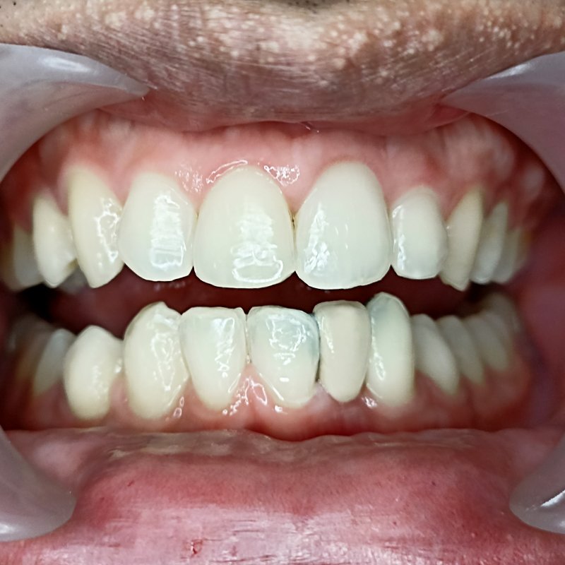
Before/After
Pemasangan
Gigi Palsu Permanen Dan Gigi Palsu Lepasan
Gigi Palsu Permanen
Bridge PFM
Crown Zirgonia
Dental Implant
Maryland PFM
Gigi Palsu Lepasan












