
Senyum Cerah Alami Dengan Whitening dari Sweet Treats
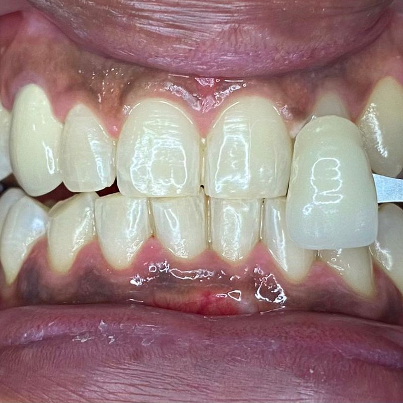
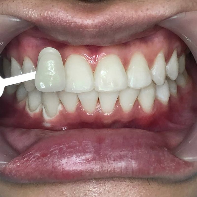
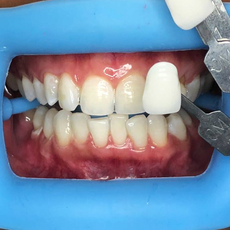
Perawatan whitening di Sweet Treats dirancang untuk memberikan hasil cerah yang aman, natural, dan sesuai kebutuhan setiap pasien. Dengan pilihan tingkat kecerahan mulai dari 1 hingga 3 level, seluruh proses dilakukan menggunakan teknologi modern serta bahan berkualitas yang minim rasa ngilu. Mulai dari konsultasi, pengolesan, hingga evaluasi hasil, semuanya dijalankan secara nyaman dan terukur agar kamu mendapatkan senyum lebih putih, segar, dan percaya diri dalam satu kali kunjungan.

Jenis – Jenis Whitening Gigi Di Sweet Treats

Cool Whitening

Fancy Whitening

Elegant Whitening
Kenapa Harus Whitening Di Sweet Treats?

Hasil Cerah yang Natural & Terukur
Sweet Treats menawarkan tiga pilihan whitening (Cool, Fancy, dan Elegant) dengan peningkatan 1–3 tingkat kecerahan, sehingga pasien bisa memilih hasil sesuai kebutuhan—semua tetap tampak natural dan tidak berlebihan.

Teknik Aman Tanpa Rasa Ngilu
Prosedur dilakukan oleh dokter gigi berpengalaman menggunakan bahan whitening yang aman, minim sensitif, dan dirancang untuk memberikan kenyamanan maksimal selama proses.

Teknologi Whitening Modern
Setiap perawatan menggunakan teknologi pendukung yang membantu proses pemutihan lebih cepat, merata, dan efektif, memastikan hasil optimal dalam satu kali kunjungan.


