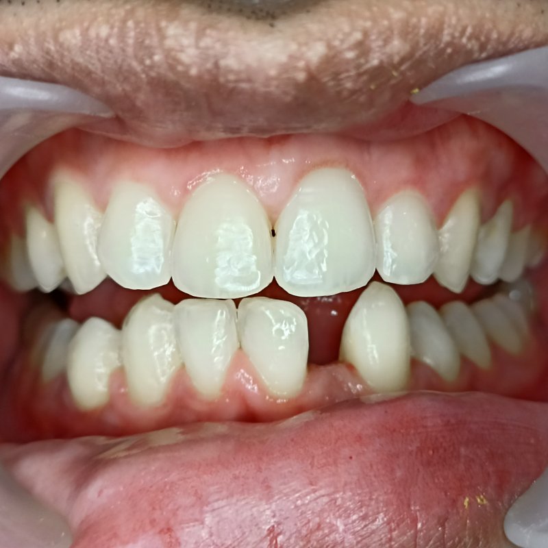
Pemasangan Gigi Palsu (Permanen)

Hasil sebelum dan sesudah pemasangan gigi palsu permanen

Crown Zirgonia : Solusi Estetik untuk Gigi yang Rusak atau Patah

Kerusakan gigi bukan hanya mengganggu fungsi mengunyah, tapi juga memengaruhi rasa percaya diri saat tersenyum.
Salah satu perawatan estetik yang paling kuat dan natural saat ini adalah Crown Zirconia.

Apa itu Crown Zirgonia?

Crown Zirconia adalah mahkota gigi berbahan dasar zirconium, material premium yang terkenal sangat kuat, tahan lama, dan punya warna menyerupai gigi asli.
Crown ini dipasang di atas gigi yang sudah dipersiapkan untuk mengembalikan bentuk, warna, dan fungsi gigi secara menyeluruh.

Manfaat Crown Zirgonia?

  • Tampilan yang sangat natural — warnanya mirip gigi asli.
  • Kekuatan tinggi, cocok untuk gigi depan maupun belakang.
  • Tidak mudah pecah dan tahan lama bertahun-tahun.
  • Biokompatibel, aman untuk jaringan gusi dan tidak menimbulkan iritasi.
  • Cocok untuk gigi patah, berlubang besar, atau perubahan bentuk gigi.

Crown Zirconia adalah pilihan ideal jika kamu ingin perbaikan gigi yang kuat, estetik, dan tahan lama. Dengan perawatan yang tepat, hasilnya bisa bertahan bertahun-tahun dan membuat kamu lebih percaya diri saat tersenyum.

Crown Zirgonia

Marryland PFM: Solusi Ringan untuk Mengganti Gigi yang Hilang

Kehilangan satu gigi, terutama di bagian depan, bisa mengganggu penampilan dan rasa percaya diri.
Salah satu solusi yang minim invasif dan tetap terlihat natural adalah Maryland PFM.

Apa itu Marryland PFM?

Maryland PFM adalah jenis jembatan gigi (bridge) yang menggantikan satu gigi hilang dengan cara menempelkan “sayap” logam tipis di bagian belakang gigi tetangga.
Bagian gigi tiruan terbuat dari porselen yang melekat pada kerangka logam sehingga kuat, namun tetap tampak natural dari depan.

Manfaat Marryland PFM?

  • Prosedur lebih minimal karena tidak banyak mengurangi struktur gigi asli.
  • Tampilan natural berkat lapisan porselen pada gigi tiruannya.
  • Cocok untuk mengganti satu gigi depan atau belakang yang hilang.
  • Lebih nyaman karena tidak memerlukan mahkota penuh pada gigi sebelahnya.

Maryland PFM ideal untuk kamu yang membutuhkan pengganti satu gigi dengan prosedur ringan, hasil natural, dan tetap nyaman digunakan.

Marryland PFM

Dental Implant: Solusi Permanen untuk Gigi yang Hilang

Kehilangan gigi bukan hanya memengaruhi penampilan, tapi juga fungsi mengunyah dan kesehatan gigi di sekitarnya.
Salah satu solusi terbaik dan paling modern adalah dental implant.

Apa itu dental implant?

Implan gigi adalah akar gigi buatan dari bahan titanium yang ditanam di tulang rahang untuk menggantikan gigi yang hilang. Di atasnya akan dipasang mahkota gigi (crown) yang menyerupai gigi asli — baik dari segi bentuk maupun warna.

Manfaat dental implant?

  • Tampilan alami seperti gigi asli
  • Nyaman digunakan, tidak lepas-pasang seperti gigi tiruan biasa
  • Mencegah tulang rahang menyusut
  • Tahan lama hingga bertahun-tahun dengan perawatan yang tepat

Ideal untuk kamu yang kehilangan satu atau beberapa gigi dan ingin solusi jangka panjang tanpa rasa khawatir.

Dental Implant

Bridge PFM: Solusi Pengganti Gigi yang Hilang dengan Kekuatan Optimal

Kehilangan satu atau beberapa gigi bisa memengaruhi fungsi mengunyah, estetika senyum, dan kesehatan gigi di sekitarnya.
Salah satu perawatan yang banyak digunakan dan terbukti efektif adalah Bridge PFM.

Apa itu Bridge PFM?

Bridge PFM (Porcelain Fused to Metal) adalah jembatan gigi yang terbuat dari kombinasi logam kuat di bagian dalam dan lapisan porselen di bagian luar.
Perawatan ini berfungsi menggantikan gigi yang hilang dengan mengaitkan mahkota pada gigi di sebelahnya, sehingga tampilan dan fungsinya menyerupai gigi asli.

Manfaat Bridge PFM?

  • Kuat dan tahan lama berkat material logam di bagian dalam.
  • Lapisan porselen memberikan tampilan natural seperti gigi asli.
  • Membantu mengembalikan fungsi mengunyah dengan stabil.
  • Mencegah gigi sebelahnya bergeser akibat ruang kosong.

Bridge PFM cocok untuk kamu yang ingin solusi pengganti gigi yang stabil, terlihat natural, dan tetap nyaman digunakan sehari-hari.

Bridges PFM

Copyright © 2023 Sweet Treats Dental Clinic. All rights reserved.

back to home